Đau bụng tưởng nhẹ, bé 12 tuổi nguy kịch vì ruột thừa vỡ, nhiễm trùng toàn ổ bụng!

Câu chuyện của bé Hưng, 12 tuổi, là một lời cảnh báo về sự nguy hiểm tiềm ẩn sau những cơn đau bụng tưởng chừng vô hại. Ban đầu, gia đình nghĩ Hưng chỉ bị rối loạn tiêu hóa khi em liên tục đau bụng âm ỉ và nôn ói. Sự chủ quan này suýt chút nữa đã khiến bé phải trả giá đắt.

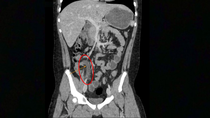
Tại Phòng khám Đa khoa Tâm Anh Quận 7 (TP HCM), kết quả xét nghiệm máu cho thấy các chỉ số viêm nhiễm của Hưng tăng vọt một cách đáng báo động: bạch cầu lên tới 22.74 K/ul (cao hơn gấp đôi mức bình thường dưới 10 K/ul) và chỉ số CRP tăng gấp 4 lần, cho thấy tình trạng viêm nhiễm cấp tính nghiêm trọng. Hình ảnh chụp CT-Scan sau đó hé lộ nguyên nhân thực sự: ruột thừa của Hưng có đường kính 12 mm (vượt xa mức 6 mm báo hiệu viêm) và bị bít tắc bởi một sỏi phân kích thước 8 mm. Chính viên sỏi này đã làm tăng áp lực bên trong ruột thừa, chèn ép mạch máu, dẫn đến tình trạng viêm hoại tử và vỡ ruột thừa chỉ trong thời gian ngắn, đòi hỏi phải phẫu thuật cấp cứu khẩn cấp.

Ngay lập tức, Hưng được chuyển đến Bệnh viện Đa khoa Tâm Anh TP HCM. ThS.BS.CKI Tôn Thị Anh Tú, chuyên gia khoa Ngoại Nhi, đã tiến hành phẫu thuật nội soi. Bà ghi nhận ruột thừa của bé đã vỡ hoàn toàn, mủ và vi khuẩn tràn ngập ổ bụng, gây ra tình trạng viêm phúc mạc cấp tính – một biến chứng cực kỳ nguy hiểm có thể dẫn đến nhiễm khuẩn huyết và sốc nhiễm trùng nếu không được xử lý kịp thời. Êkíp đã cắt bỏ triệt để phần ruột thừa viêm, làm sạch kỹ lưỡng ổ bụng, gỡ dính ruột và đặt ống dẫn lưu để loại bỏ dịch mủ còn sót lại, phòng ngừa nguy cơ hình thành áp xe sau này.

Hậu phẫu, bé Hưng phải tiếp tục được theo dõi sát sao và truyền kháng sinh đường tĩnh mạch trong 7 ngày, một khoảng thời gian dài hơn đáng kể so với 1-2 ngày cần thiết cho một ca mổ ruột thừa thông thường, nhằm tiêu diệt hoàn toàn vi khuẩn đã lan trong ổ bụng. May mắn thay, Hưng đã đáp ứng tốt với phác đồ điều trị, ăn uống trở lại bình thường, hết đau bụng và được xuất viện.

Bác sĩ Tú khuyến cáo phụ huynh cần đặc biệt cảnh giác: Nếu trẻ có biểu hiện đau bụng liên tục, đặc biệt là đau vùng bụng dưới bên phải, kèm theo sốt, nôn trớ hoặc bụng căng đau khi sờ vào, hãy đưa trẻ đi khám ngay lập tức. Đây là những dấu hiệu cảnh báo viêm ruột thừa và cần được can thiệp kịp thời để tránh các biến chứng nguy hiểm như áp xe ruột thừa, tắc ruột hoặc viêm phúc mạc.

Viêm ruột thừa là tình trạng ruột thừa bị tắc nghẽn, sưng viêm và nhiễm trùng. Triệu chứng điển hình thường bắt đầu bằng đau quanh rốn, sau đó lan xuống hố chậu phải, đau âm ỉ liên tục, kèm buồn nôn, nôn, chán ăn, và có thể là tiêu chảy hoặc táo bón. Ở trẻ nhỏ, triệu chứng thường không điển hình, dễ bị nhầm lẫn với rối loạn tiêu hóa. Do thành ruột thừa mỏng, bệnh có thể diễn tiến nhanh chóng và vỡ trong vòng 24-48 giờ. Nếu không điều trị kịp thời, viêm ruột thừa có thể gây ra nhiều biến chứng nghiêm trọng đe dọa tính mạng.

Leave a Reply

Your email address will not be published. Required fields are marked *